千歳船橋 セラミック治療 審美歯科

千歳船橋 世田谷シティ歯科 千歳船橋駅 歯科 歯医者 千歳船橋 世田谷シティ歯科 千歳船橋駅 歯科 歯医者

ご予約・お問い合わせはお気軽に

tel 03-5429-6007

MENU

千歳船橋 世田谷シティ歯科 千歳船橋駅 歯科 歯医者
診療時間






セラミック治療
&ホワイトニング

セラミック治療などについてCeramics

セラミックなどを用いた審美的な歯科治療は、見た目を美しくしたり、歯肉を作ったり、歯並びやかみ合わせを治して健康面の回復を図るといった目的で行われます。

お口にコンプレックスがあると、人と対面する際などに自然な笑顔を作りづらくなってしまいます。きれいな口元を得ることで、大きな自信を持つことができ、気持ちを前向きにしてくれます。

セラミック治療

見た目の美しさを良くするだけでなく、お口の衛生状態も良好に保つことができ、歯本来の機能の回復も考え改善することができるようになります。また、当院では歯肉まで大きく悪化した患者様向けの治療も行っておりますので、お悩みの方はご相談ください。

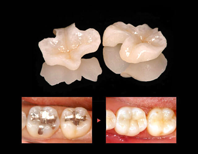
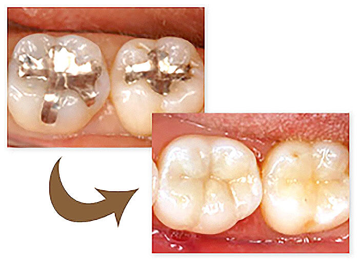
インレー・クラウン

インレー(詰め物)

インレー(詰め物)

インレーとは、虫歯を削り取った後の歯に埋める詰め物です。
インレー(詰め物)には従来アマルガムや金属が使用されてきましたが、黒く目立ち、見た目にはよくありませんでした。セラミックを使用することにより、治療箇所が目立たず、非常に健康的に見えます。
また、プラスチックで強度は劣りますが、保険内でも白い材料のインレーを製作することは可能です。

クラウン(被せ物)

クラウン(被せ物)

クラウンとは、虫歯を削り取った後に歯の全体を覆う被せ物です。
虫歯の進行具合によっては被せ物やブリッジによる治療となります。

セラミックを使用することで、金属や歯科用プラスチックでは得られない透明感のある白い歯の輝きを取り戻すことができますが、これは自費治療となります。

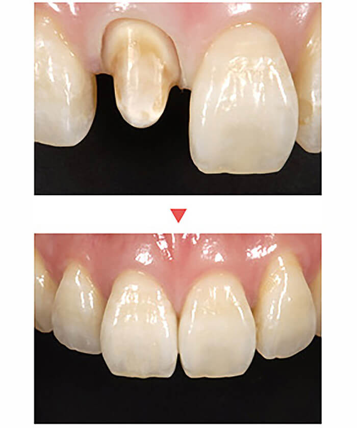
オールセラミックス

オールセラミック治療とは、金属を使わずにする治療のことです。
前歯だけでなく、見えにくい奥歯も治療が可能です。
歯とほぼ同じ硬さで、自然な咬み合せも得ることができます。
天然歯との見分けが難しいほど自然な色と輝きを得ることができ、時間を経てもその美しさが保たれます。

また、セラミックは、身体にも優しく、金属を使用しないので、金属アレルギーの心配もありません。

セラミック治療

ジルコニアオールセラミック

  • フレームの材質は強度が最も高いジルコニアで、外壁は色調が美しいガラス系セラミックで作られています。
  • 通常のジルコニアと同じ強度で、審美性、透明感、再現性は最高峰の仕上がりとなっております。
  • 前歯の修復、古い被せ物のやり直しなどには最適です。
  • ジルコニアオールセラミック専用の機械でフレームから作製し、専門のセラミストと呼ばれる歯科技工士が仕上げまで行います。
    セラミックの被せ物の中で最も手間暇をかけて作製致します。
  • 隣の天然歯とほぼ同じ外観に再現します。
  • 前歯の治療において、様々なセラミックの中でジルコニアオールセラミックが最も天然歯に近い再現力をもっています。
ジルコニアオールセラミック
ジルコニアオールセラミック

e.max オールセラミック

  • e.maxはガラス系セラミックで、歯よりも固く、色調も綺麗なセラミックです。
    ジルコニアほどではありませんが、破折が少なく非常に安定したセラミックです。
  • 独自のセラミックブロックを溶かし、型に流し込み作成するため高い強度、審美性を発揮します。
e.max

フルジルコニアクラウン

  • 全てジルコニアでできており、非常に硬く丈夫です。
  • ジルコニア単体でできており、色調がパール(真珠)のようで透明感はありません。
    前歯には不向きですが、奥歯には適しております。
フルジルコニアクラウン

e.max セラミックインレー

  • 小さな詰め物タイプのセラミックです。
  • 材質はガラス系セラミックのe.maxを使用しています。
  • インレー治療(小さな詰め物)の中では最も耐久性、審美性に優れており虫歯や歯ぎしりなどによる破損にはとても強いです。
e.max セラミックインレー

メタルセラミック(メタルボンド)

  • 金属にセラミックを張り付けた従来のセラミックです。
  • 金属の腐食や、歯肉への金属イオン流出があり、歯肉を黒くすることがあります。
  • 保険のプラスチック冠に比べると強度、審美性ともに高いです。
メタルセラミック(メタルボンド)

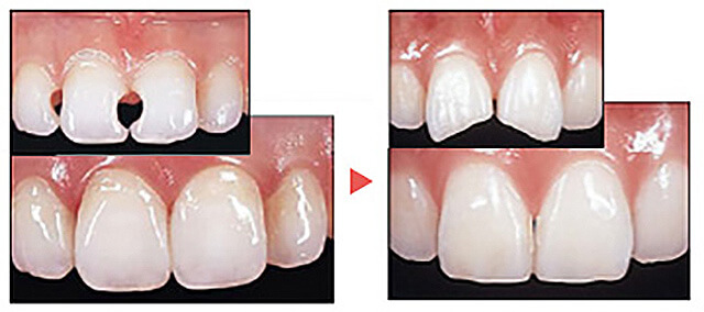
ダイレクトボンディング 
保険適応外ハイブリッドセラミックを使用

  • 虫歯を除去し直接プラスチックを詰める治療方法。虫歯の大きさが小さく、歯が多く残っている場合は有効的になります。
  • できるだけ歯を削らず白い材料で歯を作る方法です。その反面、プラスチックの強度が歯やセラミックに比べると劣ります。
  • 技工士さんが作ったものを入れるインレー治療と異なり、歯科医師がお口の中で直接歯を作りますので、その日に白いものが入ります。
ダイレクトボンディング(保険適応外ハイブリッドセラミックを使用)

奥歯の古い銀歯と虫歯を除去しダイレクトボンディングを行った症例です。健康な歯が多く残っているため、型どりは不要で、その日で白い歯が入ります。

ダイレクトボンディング

事故で前歯を破折し、ダイレクトボンディングにより修復した症例です。
健康な歯をできるだけ残しています。

ダイレクトボンディング

耐久性の追求
~ジルコニア、セラミック、レジンセメント~

歯の治療は再治療や再発はとても多いのが現実です…。
金属修復⇒虫歯の再発⇒歯を削り…金属修復
これまでこのような治療が繰り返されてきました。
虫歯治療は、やり方を間違えれば歯をどんどん失う方向へ進んでいきます。
それをどこかでストップしなければなりません。

世田谷シティ歯科では耐久性の強い材料=ジルコニアをメインに材料を厳選しています。ラインナップとして全てオーダーメイドのジルコニアオールセラミック、歯の強度に最も近いガラス系セラミックのemax、全てジルコニアのフルジルコニアがあります。

銀歯のリスク
ジルコニアセラミック

全て特徴があり、患者様のご希望と予算を伺い、医学的観点からこちらからアドバイス致します。再治療にはできる限りならないよう、耐久性の高い上物=壊れにくい、欠けにくい、摩耗しにくい材料を用意しております。
しかしながらそのジルコニアを接着するシステム=接着する材料が不完全だと虫歯や脱落は再発します。それを可能な限り減少させるように当院では『接着性レジンセメント』を用いて高い接着性を再現しています。
その過程として、土台の消毒、土台の表面処理を行い、セラミックの内面に接着強度を高める接着剤の塗布、最後にセラミックの内面に接着性レジンセメントを塗布して接着します。

細かくてわかりにくいかもしれませんが、それだけ手間隙をかけて、一本のセラミックを被せていきます。長く良好な予後を期待して、手間を惜しみません。

ファイバーコアとメタルコアFiber Core

コアとは、虫歯になった歯や、歯冠部を失ってしまった歯の根部の補強をする補綴物のことです。歯髄(神経)を失った歯は栄養が行き届かないため歯質は脆くなってしまいます。

そこで歯の根部にコアと呼ばれる土台を入れ、補強した上でかぶせものをします。また、根の治療などによって、神経がなくなると歯髄腔(神経が通る穴)は空洞になります。そこにまた細菌などの感染が起こらないように樹脂とコアで密閉することによって、二次感染を防ぐという効果も担っています。

一般的には金属性のメタルコアを使用することが一般的ですが、世田谷シティ歯科では、見た目や強度に優れたファイバーコアにも対応しております。

ファイバーコアとメタルコア

歯に似たしなやかさ

金属製コアはとても硬く、強い力が加わると直接歯の根に力を伝え、根を壊してしまうことがあります。根が割れてしまうとその歯は抜歯となるケースもあります。

ファイバーコアは適度なしなやかさがあり、衝撃を吸収することで根を壊しにくく、歯にも優しい材料です。

メタルコアの破損
セラミック治療

セレックシステムCEREC

世田谷シティ歯科では、CAD/CAM治療=セレックシステムを導入しております。
天然歯にとても近い色や質感のセラミックブロックを使用して、院内で設計・加工を行う審美治療です。

セレックシステムは、医療先進国ドイツからやってきた、コンピュータ制御によって歯の修復物を設計・製作するCAD/CAMシステムです。
コンピュータを使って修復物を作製するので、歯型を取ることがありません。(※症例により型取りが必要な場合もあります。)
3D光学カメラを使用して患部を撮影し、患部の歯列をモニター上に再現。そのあとはコンピュータの3D画面上にて修復物を設計し、ミリングマシンがデータをもとに作製します。

石膏模型がなく、歯科技工所に出すことがないので、経済的な上、短時間で詰め物が出来き上がるので、最短で即日の対応が可能です。
また、先進のコンピューター処理により、常に安定した高品質・高精度の修復物を提供することが可能になりました。

セレックシステムの
5つの特徴

  • 1. 最短1日で治療可能
  • 2. 変色や摩耗の少ない優れた耐久性
  • 3. 白い歯に近い透明と高いクオリティ
  • 4. 金属アレルギーの方でお受け頂けるメタルフリー
  • 5. 3D画像からお口にぴったりの歯を作れる

セレック治療の流れ

セレック治療の流れ セレック治療の流れ

ホワイトニングについてWhitening

ホワイトニングとは、歯みがきや歯のクリーニングなどでは落としきれない歯の着色をきれいにし、歯を白くする方法です。

歯を削ったりすることなく、歯の中にある色素を分解し、歯の明度を上げて白くしていきます。
歯を白く綺麗にされたい方や、歯をなるべく削らないで白くしたい方、対面でのお仕事の方には特にお勧めの治療です。

ホワイトニング

ホームホワイトニング

ホームホワイトニングは、自宅にて、個人の歯形に合わせてホワイトニングジェルを流し込んだマウスピースを装着して歯を白くしていく方法です。

歯の白さを実感するには2週間以上の時間を要しますが、時間がかかる分、オフィスホワイトニングより白さが増し、持続期間も長いという特徴があります。

ホームホワイトニング
診療時間
9:00~13:00
14:30~17:30

【休診日】祝祭日のみ

東京都世田谷区砧2 丁目14 番地30 号
ガーデニエール砧2F
【最寄駅】
■小田急線 千歳船橋駅から徒歩7分
■小田急線 祖師ヶ谷大蔵駅徒歩8分
【駐車場】140 台(無料)
map

ネット初診ご予約ネット再診ご予約